O nama - Oralis
Stomatoloska ordinacija Cazin
Nasa jasna vizija je poboljšanje dentalnog zdravlja pacijenata koji traže vrijednost naših usluga za dugoročnu dobrobit i osmijehe koji traju zauvijek. Naši pacijenti ulažu u svoje oralno zdravlje i nagrađuju nas upućivanjem kod svojih bliskih prijatelja i porodice.
Pacijentima želimo pružiti više od stomatologije, te je zato osoblje nase ordinacije posvećeno vrhunskoj stomatološkoj usluzi s posebnim naglaskom na opću i estetsku stomatologiju.
Najsavremenija oprema, kvalitetne metode rada i materijali, te ljubazno osoblje su glavne karakteristike naše ordinacije, koje na kraju daju fantastičan rezultat. U prijatnom ambijentu nudimo širok asortiman stomatoloških usluga, iz svih oblasti stomatologije.
Za više aktuelnih informacija zapratite našu facebook stranicu i instagram profil.
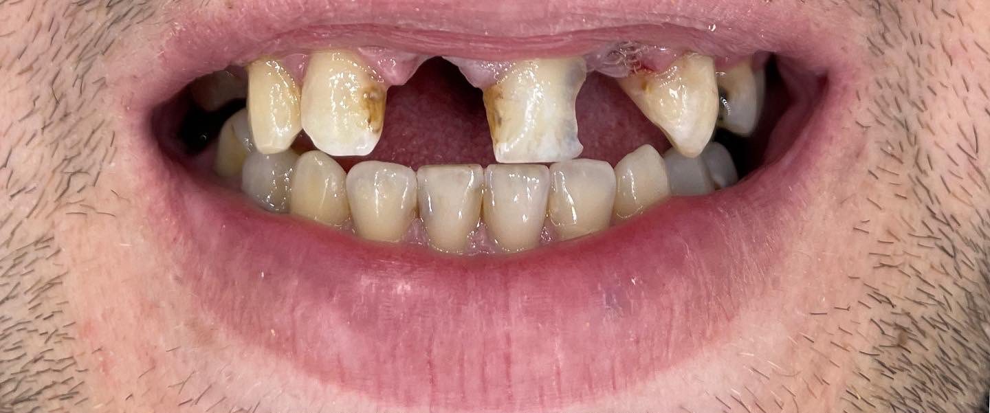
PRIJE I POSLIJE

Ko smo mi?

Završeno školovanje u trajanju od šest godina na stomatološkom fakultetu Univerziteta u Sarajevu.
Odbrana diplomskog rada na katedri za forenziku sa dentalnom antropologijom.
Članica je komore liječnika i stomatologa FBIH.

Završeno školovanje u trajanju od šest godina na stomatološkom fakultetu Univerziteta u Sarajevu.
Odbrana diplomskog rada na katedri za forenziku sa dentalnom antropologijom.
Član je komore liječnika i stomatologa FBIH.
Stomatoloska ordinacija Oralis cazin
Usluge Stomatoloske ordinacije Oralis
Google recenzije
[trustindex no-registration=google]
